Using the Viewer
After you double-click a study, the Lesion Tracking imaging application will be launched. The basic patient and study data is displayed in the Image Viewer.

Switching Studies and Series​
There are two methods to switch studies and series inside each viewport:
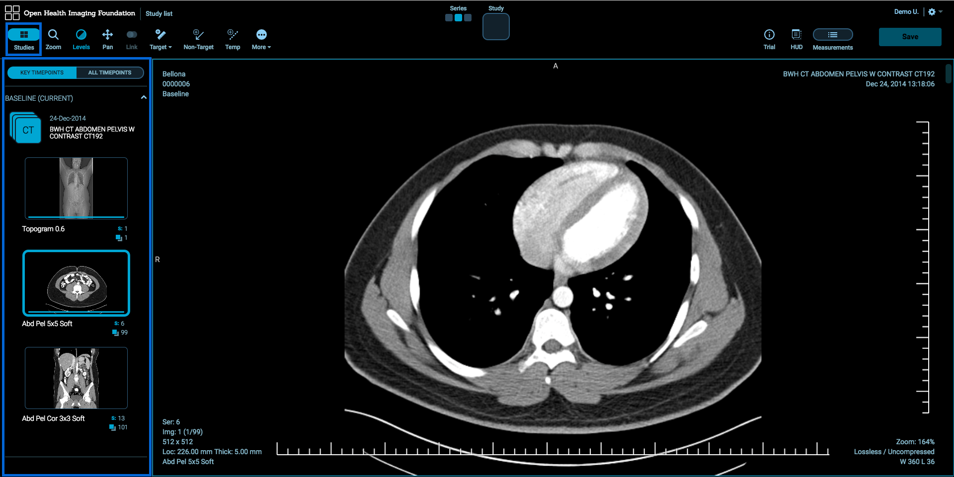
Studies Panel​
Studies Panel at the left side of the workspace allows you to change studies and series. Click Studies button to toggle Studies Panel. You can view images in two ways:
- Double-click the desired series thumbnail.
- Drag and drop the desired series thumbnail on the image viewer.

Quick Switch Tool​
Quick Switch Tool in the top-middle of the workspace allows you to switch studies and series for the active image viewer easily. Selected series will be colored by the theme colors.

Image Manipulation Tools​
Image Manipulation Tools are available in the toolbar at the top of the workspace.
Zoom Tool​
There are a couple of ways to zoom the image:
- Select Zoom Tool and down on the image with the left mouse button.
- Down on the image the right mouse button without selecting Zoom Tool.

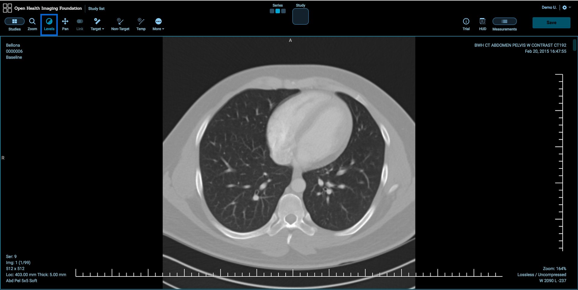
Window Width & Level​
There are a couple of ways to change the window/level of the image:
Select Levels Tool and drag on the image with the left mouse button. Dragging up decreases the level and dragging left decreases the window width.

Alternatively, you can use default Window/Level Presets which are defined in User Preferences dialog or create your window level values.

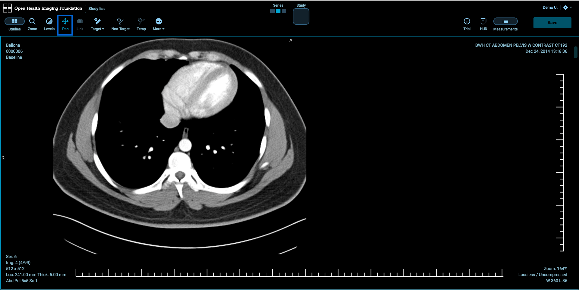
Pan Tool​
There are a couple of ways to pan the image:
- Select Pan Tool and move the image around the screen with the left mouse button.
- Move the image around the screen with the middle mouse button without selecting Pan Tool.

Stack Scroll Tool​
There are a number of ways to scroll images:
- Scroll up and down the mouse wheel.
- Drag the scroll bar at the right side of the image viewer.
- Use Up and Down buttons on the keyboard.

Lesion Tracking Basics​
View Case Response Criteria​
LesionTracker supports Conformance Checks for RECIST 1.1 and click Trial to view Response Criteria details.
Note: Trial button is available if the study is associated with a timepoint.

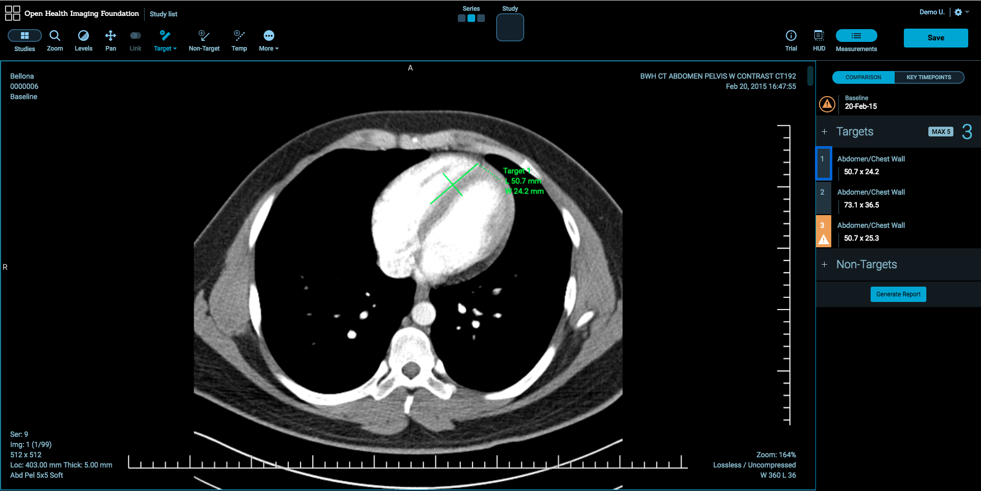
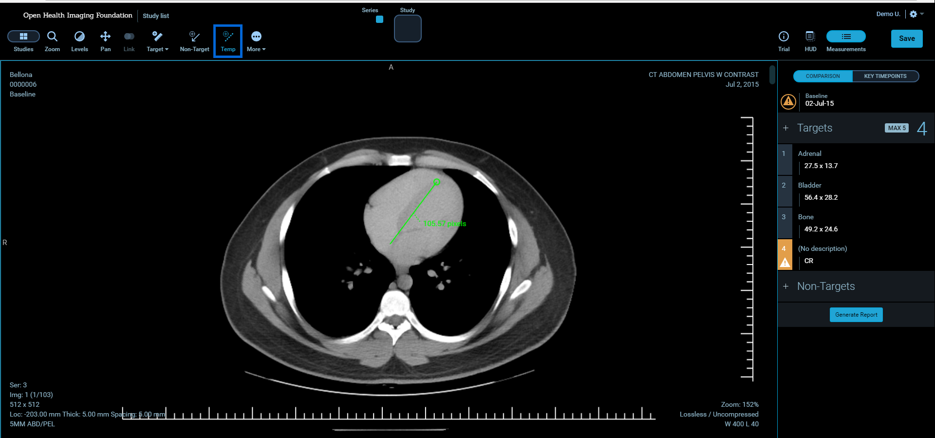
Measurements Table​
To view measurements and manipulate the lesions, click Measurements button at the top-right of the workspace. The Measurements table will be displayed at the right side of the workspace. To hide the Measurements the table, click Measurements button.
Note: Measurements button is available if the study is associated with a timepoint.

Target Tool​
To create a target, select Target Tool and click on the image.
Hold, drag and release the mouse button to create the target.

To label the target, click Add Label button.

To resize the measurement, hover the mouse over the end points of the target then click and drag.
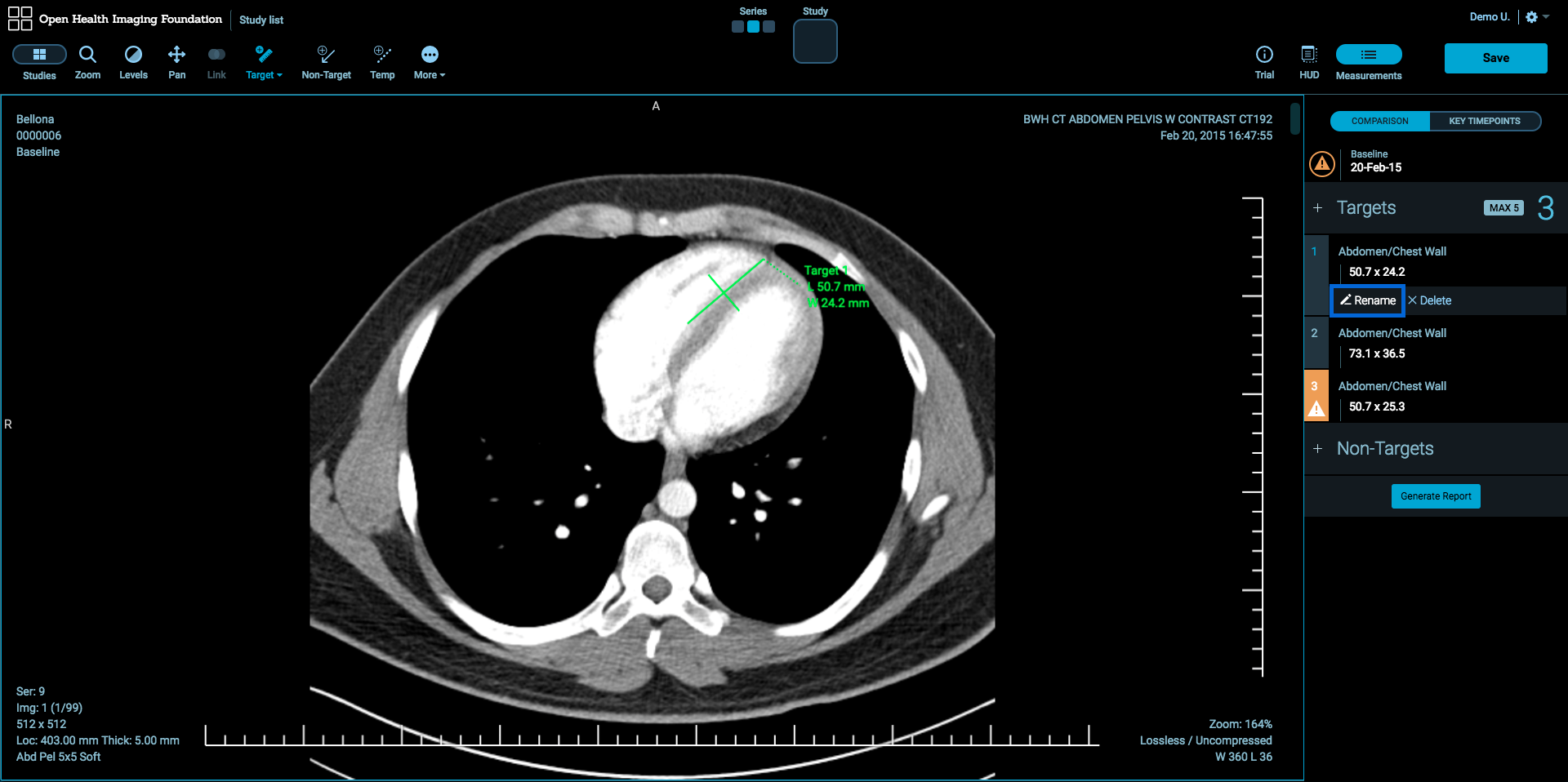
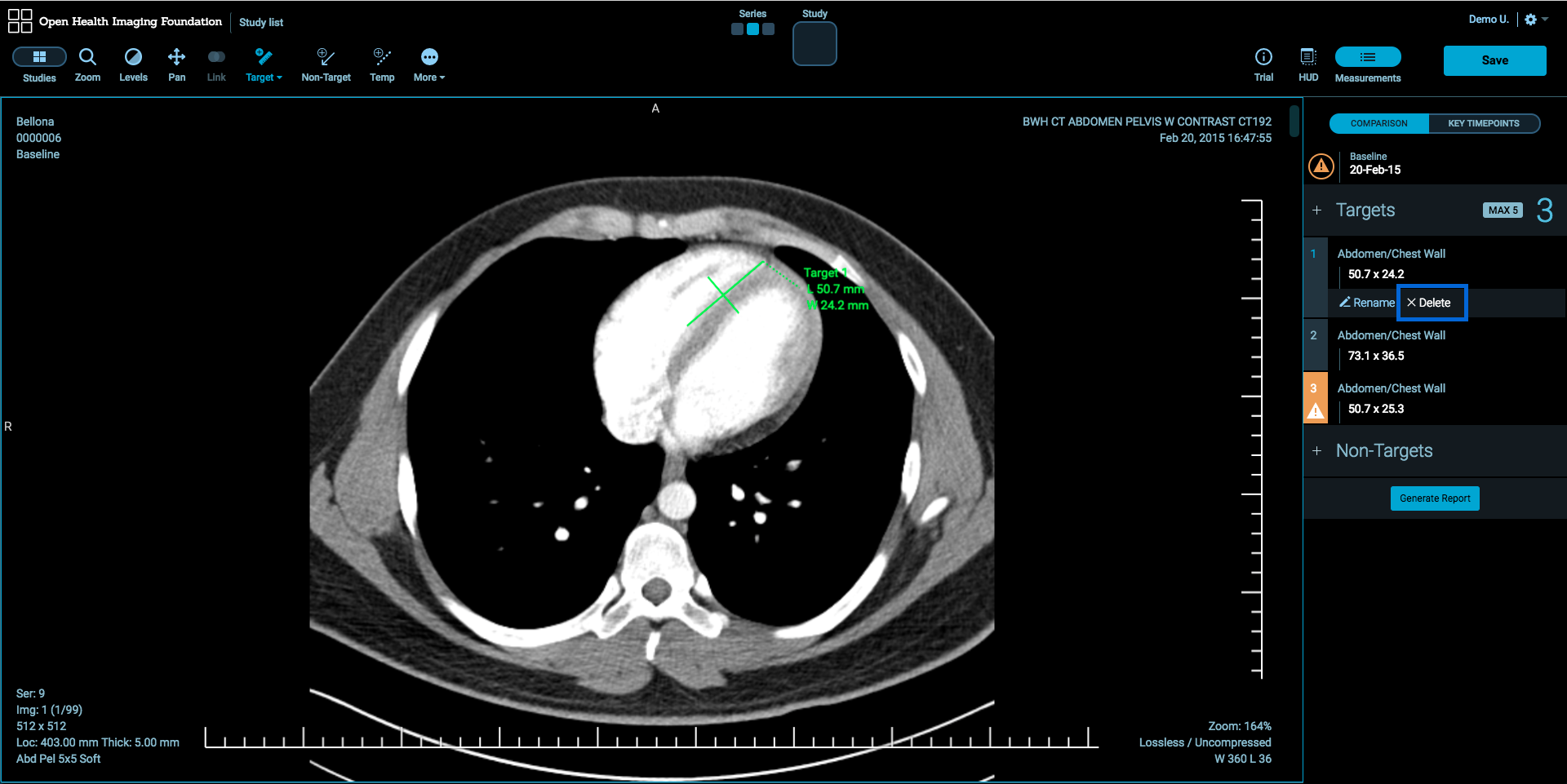
To rename the lesion, click the lesion number in the Measurements table then click Rename

To delete the lesion, click the lesion number in the Measurements table then click Delete. It will delete the lesion from the Measurements table and the image.

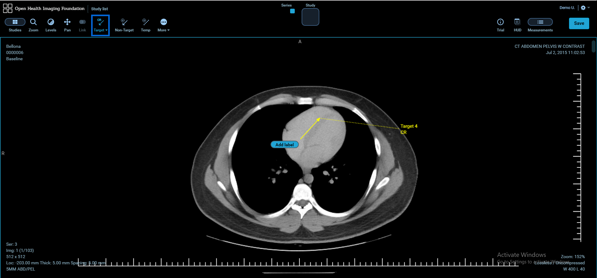
Completely Resolved (CR) Target Tool​
To make a lesion completely resolved, click Target Tool and select CR Target from Target Tool pop up.

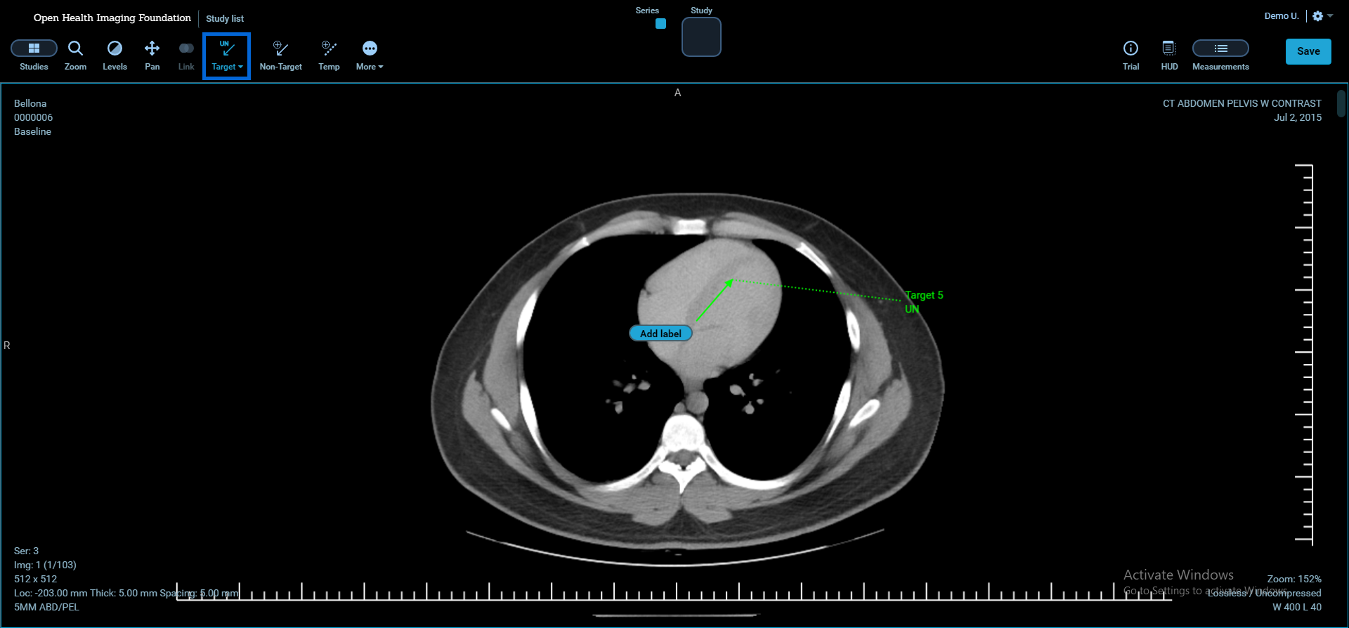
Unknown (UN) Target Tool​
To mark a lesion as unknown, click Target Tool and select UN Target from Target Tool pop up.

Non-Target Tool​
To create a non-target, select Non-Target Tool and click on the image.
Hold, drag and release the mouse button to create a non-target.

Select Lesion Location and Lesion Location Response then click Confirm.

To resize the measurement, hover the mouse over the end points of the non-target then click and drag.
To rename the lesion, click the lesion number in the Measurements table then click Rename
To delete the lesion, click the lesion number in the Measurements table then click Delete. It will delete the lesion from the Measurements table and the image.
View Lesion​
To view the lesion on the image, click the measurement record in the Measurements table then the image which includes the lesion will be displayed by activating the selected lesion.

Conformance Checks​
Any lesion that will conflict with Response Criteria for RECIST 1.1 will be flagged in the Measurements table. To view criteria non-conformities, click the icon at the left of the lesion record in the Measurements table.

Generating PDF Reports​
- To generate reports of measurements, click Generate Report button at the bottom of the Measurements table.

- A PDF file which includes target and non-target measurements with annotated image snapshots will be created.

Saving Measurements​
There a couple of ways to save changes:
Click Save button at the top-right of the workspace.

Click Study list to save changes and go back to Study List.

Timepoint Comparison​
LesionTracker allows to compare time points and manipulate the measurements on the timepoint images. To launch the compare mode:
Associate a study with Follow-up timepoint then double-click Follow-up study. Follow-up and Baseline studies will be displayed in 1x2 layout and Baseline study will show the image which includes the first target measurement as default.
Measurements in the Follow-up must be created in the same order as they were on Baseline.

Comparison​
  Comparison tab in the Measurements table allows you to display lesions in the timepoint compared.

Key Timepoints​
Key Timepoints tab in the Measurements table allows you to display the lesions by the timepoints at the same time.

Image Review​
To compare the lesions in Baseline and Follow-up, click the lesion record in the Measurements table. The recorded lesions will be displayed on the Baseline and Follow-up images
Stack Scroll Tool**​
To scroll between two series synchronously, click More button and select Stack Scroll Tool.

Case Progress​
Case Progress icon displays the progress of target and non-target lesions which are assessed out of total lesions. Number in the middle of the icon shows the number of lesions which are not assessed.

Heads Up Display (HUD) Panel​
To have a quick view of the Measurements table, click HUD button at the top-right of the workspace. You can easily move and resize the HUD Panel on the workspace.

Note: HUD button is only available if the study is associated with a timepoint.
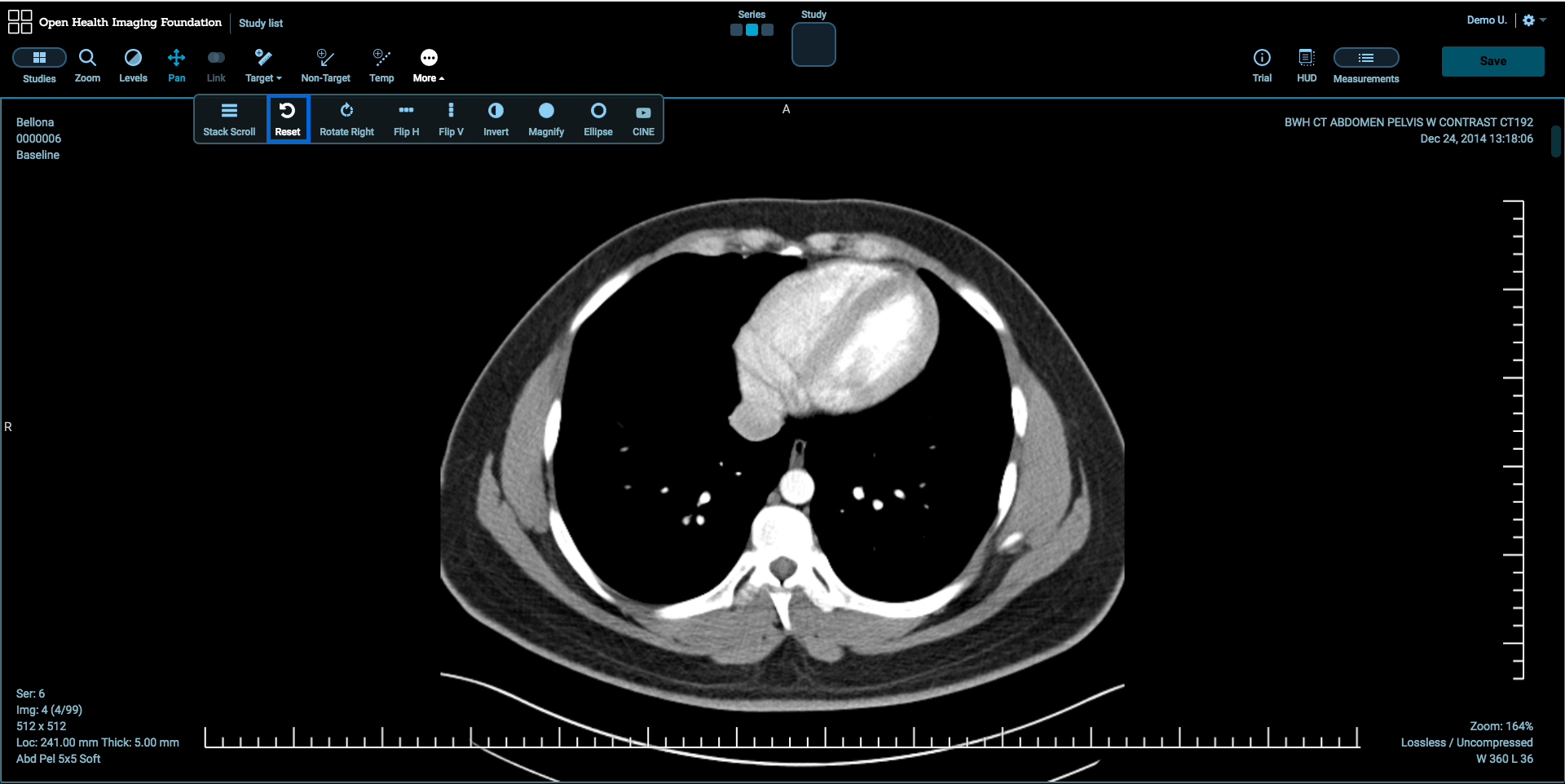
Additional Tools​
Temporary Length Measurement​
To check the size of a lesion without adding to the Measurements table, select Temp Tool.

Stack Scroll Tool​
To scroll images:
- Click More button and select Stack Scroll Tool.
- Drag down and up on the image viewer with the left mouse button.

Reset Image Tool​
To reset the geometric orientation, position and magnification of the image in the active image viewer, click More button and select Reset Tool.

Rotate Right Tool​
To rotate the image in the active image viewer 90 degree clockwise, click More button and select Rotate Right Tool.

Flip H Tool​
To flip the image in the active image viewer horizontally, click More button and select Flip H Tool.

Flip V Tool​
To flip the image in the active image viewer vertically, click More button and select Flip V Tool.

Invert Tool​
To invert the image in the active image viewer, click More button and select Invert Tool.

Magnify Tool​
Magnify Tool allows to zoom in a part of the image without changing zoom level of the whole image.
- Click More button and select Magnify Tool.
- Click and drag around the image with the left mouse button.

3.7.9. Ellipse Tool​
Ellipse Tool allows you to draw elliptical annotation with mean and standard deviation values.
- Click More button and select Ellipse Tool then click on the image.
- Hold, move and release the mouse button to create the annotation.

Save Screenshot​
To save a screenshot of the current active viewport:
- Click More button and click Save Screenshot.
- Set image name and sizes and click Download.

CINE Tool​
CINE Tool allows to play through stacks of images in the active viewport.
- Click More button and click CINE Tool. The CINE dialog will pop up.
- Click the desired media options from the CINE dialog.
- To close CINE dialog, click CINE Tool.
